![]()
インプラント治療について
歯が失われてしまったところにブリッジや入れ歯を入れることで
噛むことや見た目の不都合はある程度解消されます。
しかし、これらの方法では抜けている隣の歯を削ったり、
残っている歯に負担がかかったりしてしまうため、
将来的に考えるとあまり良い治療法でない場合があります。
この問題を解消するためにインプラントが考えられました。
最近では、インプラントの形状、素材が改善され、
手術方法もかなり確立してきていると判断しており、
当院でもJMM(日本メディカルマテリアル社)製
インプラントを採用しております。
インプラント費用
費用は、1本¥175,000~(手術料、上にかぶせるプラスチック冠または金属冠込み)です。
まだ、保険診療に導入されていないため、多くの治療費がかかりますが、
なるべくたくさんの方にインプラントの良さを体感していただくために
平成20年6月より費用を抑えました。
インプラントはむし歯にはなりませんが、歯周病と同じ状態にはなります。
したがって、以下の患者さんの場合インプラント手術を見合わせる場合があります。
- コントロールされていない糖尿病
- 免疫不全疾患
- リウマチ、血液透析
- 骨粗しょう症薬を長期内服している方
いずれも、医科主治医の先生と相談させていただきます。
また、喫煙されている方も禁煙されることをお勧めしていますし、
口腔ケアも非常に大切になってきます。
インプラント症例集
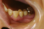
50代女性の症例
【治療前】

・見た目をきれいにしたい
・歯を長持ちさせたい
とご希望がありインプラント治療を行いました。
【治療後】

【患者さんの声】
あまり痛みを感じず、うまく手術が終わり安心しました。
見た目もきれいで大満足! ありがとうございました。



